Ihre Zahnpraxis im Dreisamtal
Freiburgerstrasse 8 Kirchzarten
harald@wencke.de Termine unter 07661-1314


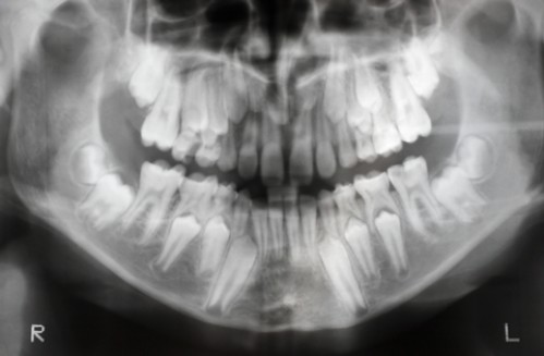
Die dentale Chirurgie umfasst insbesondere Zahnentfernung, die Entfernung retinierter und verlagerter Zähne,  Zahnkeimtransplantationen, Freilegungen retinierter Zähne zur anschließenden kieferorthopädischen Einordnung in den Zahnbogen, Wurzelspitzenabtrennung , Zystenoperationen, die zahnärztliche Traumatologie nach Unfällen und auch die dentale Implantologie sowie die externe Sinusliftoperation.

Alle Eingriffe werden bei uns unter Lokalanästhesie durchgeführt.